Search Pet Health Library
Why is My Dog Limping, When to Call a Veterinarian
Dog limping can have many causes, from minor injury to more serious orthopedic problems. Learn when limping should be evaluated by a veterinarian.
Osteochondritis Dissecans (OCD) in Dogs: Causes, Symptoms, and Treatment
Osteochondritis dissecans (OCD) is a developmental orthopedic disease that affects the joints of young dogs and often causes limping and pain. Learn the signs and treatment options.
Why Is My Dog Limping? When To Seek Help.
Limping is a common sign of pain in dogs and may be caused by injuries, arthritis, ligament tears, or bone disease. Learn the most common causes and when veterinary care is needed.
Broken Leg in Dogs: Signs, Causes, and Treatment
Fractures in dogs are a common cause of sudden limping and pain. Learn the symptoms of a broken leg and how veterinarians diagnose and treat bone fractures.
Luxating Patella in Dogs: Symptoms, Causes, and Treatment
Luxating patella occurs when a dog’s kneecap slips out of its normal position, causing intermittent limping or skipping. Learn how this common orthopedic problem is diagnosed and treated
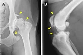
Hip Dysplasia in Dogs: Symptoms, Causes, and Treatment
Hip dysplasia is a common cause of pain and limping in dogs, especially in large breeds. Learn how to recognize the signs and what treatment options are available.
Arthritis in Dogs: Symptoms, Causes, and Treatment
Arthritis in dogs is a common condition that causes joint pain, stiffness, and difficulty moving. Learn how to recognize the signs and help your dog stay comfortable.
ACL Tear in Dogs: Symptoms, Diagnosis, Surgery, and Recovery
ACL tears are one of the most common orthopedic injuries in dogs and often cause sudden hind leg limping. Learn the symptoms and treatment options for cruciate ligament injuries.
Understanding Ruptured Cranial Cruciate Ligament (CCL) in Dogs
A ruptured cranial cruciate ligament (CCL) is one of the most common and painful knee injuries in dogs. This in‑depth guide explains what causes CCL tears, how to recognize the signs, the pros and cons of each surgical option, what recovery looks like, and how to support long‑term joint health. Whether your dog has a sudden limp or chronic stiffness, this article helps you understand the condition and make informed decisions about treatment.