Why Is My Dog Limping? When To Seek Help.

Understanding Why Your Dog Is Limping: Common Causes and Solutions

Limping is one of the most common reasons pet owners bring their dogs to the veterinarian. A limp may develop suddenly after an injury or gradually over time due to joint disease or other medical conditions.

Dogs may limp for many different reasons, ranging from minor muscle strain to serious orthopedic disease. Understanding the possible causes of limping can help pet owners recognize when veterinary care is needed.

This guide explains the most common causes of limping in dogs, how veterinarians diagnose orthopedic problems, and the treatment options available.

What Is Limping in Dogs?

Limping occurs when a dog avoids placing normal weight on one or more limbs. This may happen because of pain, weakness, or structural problems affecting the bones, joints, muscles, or ligaments.

Limping can affect:

• front legs
• hind legs
• multiple limbs

Some dogs show mild stiffness while others may refuse to bear weight entirely.

Common Causes of Limping in Dogs

Many different conditions can cause limping. Some are minor injuries that resolve quickly, while others require medical treatment.

Injury or Trauma

Injuries are one of the most common causes of sudden limping.

Dogs may injure their legs from:

• rough play
• jumping from heights
• slipping on floors
• accidents

Common injuries include muscle strains, ligament sprains, and bruising.

Torn ACL (Cranial Cruciate Ligament)

ligaments of dogs knee

One of the most common orthopedic problems in dogs is a cranial cruciate ligament tear, often referred to as an ACL tear.

The cranial cruciate ligament stabilizes the knee joint. When this ligament tears, the joint becomes unstable and painful.

Symptoms may include:

• sudden limping
• difficulty rising
• reluctance to run or jump
• swelling around the knee

Many dogs require surgical treatment to repair the ligament.

Arthritis

hip and knee arthitis

Arthritis is a degenerative joint disease that commonly affects older dogs.

Over time, the cartilage inside the joints wears down, causing inflammation and pain.

Signs of arthritis include:

• stiffness after rest
• limping after exercise
• difficulty climbing stairs
• decreased activity

Although arthritis cannot be cured, treatments can help manage pain and improve mobility.

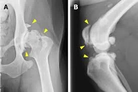
Hip Dysplasia

Hip dysplasia is a genetic condition in which the hip joint does not develop normally.

This abnormal joint structure leads to instability, inflammation, and eventually arthritis.

Large breed dogs are especially prone to hip dysplasia.

Symptoms may include:

• hind leg limping
• difficulty rising
• reduced activity
• “bunny hopping” gait

Early diagnosis allows veterinarians to manage the condition and slow progression.

Luxating Patella

luxating patella dog

Luxating patella occurs when the kneecap slips out of its normal position.

This condition is common in small breed dogs.

Dogs with luxating patella may show:

• intermittent limping
• skipping steps while walking
• sudden lifting of the hind leg

In severe cases, surgery may be recommended.

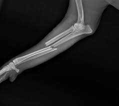
Bone Fractures

bone fracture dog

Broken bones can occur due to trauma such as:

• falls
• car accidents
• severe impacts

Fractures typically cause:

• severe pain
• swelling
• inability to bear weight

Fractures require immediate veterinary care.

Osteochondritis Dissecans (OCD)

OCD dog joint

Osteochondritis dissecans is a joint disorder affecting growing dogs.

This condition occurs when cartilage inside the joint develops abnormally and separates from the underlying bone.

Large breed puppies are most commonly affected.

Symptoms include:

• limping
• joint swelling
• reduced activity

Treatment may involve surgery to remove damaged cartilage.

Diagnosing the Cause of Limping

Veterinarians use several methods to determine why a dog is limping.

Physical Examination

The veterinarian carefully examines the dog’s limbs, joints, and muscles to locate the source of pain.

They may check for:

• swelling
• joint instability
• reduced range of motion

X-rays

Radiographs allow veterinarians to evaluate bones and joints for abnormalities such as fractures, arthritis, or hip dysplasia.

Advanced Imaging

In some cases, additional imaging such as CT scans or MRI may be recommended.

Joint Evaluation

Testing joint stability helps diagnose ligament injuries such as cruciate ligament tears.

Treatment Options for Limping

Treatment depends on the underlying cause of the problem.

Rest and Activity Restriction

Minor injuries often improve with rest and limited activity.

Medications

Pain relief and anti-inflammatory medications help reduce discomfort and inflammation.

Physical Therapy

Rehabilitation therapy can improve mobility and strengthen muscles.

Surgery

Certain orthopedic conditions, including cruciate ligament tears and fractures, may require surgery.

Preventing Orthopedic Problems

While some conditions cannot be prevented, several steps can help protect your dog’s joint health.

Maintain Healthy Weight

Excess body weight increases stress on joints.

Provide Regular Exercise

Moderate activity helps maintain strong muscles and healthy joints.

Avoid Excessive Jumping

Repeated high-impact activity may increase injury risk.

Schedule Regular Veterinary Exams

Routine examinations help detect problems early.

When to See a Veterinarian

Some limping episodes may resolve quickly, but others require prompt medical attention.

Contact your veterinarian if your dog:

• cannot bear weight on a limb
• shows severe pain
• has swelling or deformity
• continues limping for more than 24 hours

Early treatment often leads to better outcomes.

Frequently Asked Questions

Why is my dog limping suddenly?

Sudden limping is often caused by injury, ligament tears, or joint problems.

Can a dog limp heal on its own?

Minor muscle strains may improve with rest, but persistent limping should be evaluated by a veterinarian.

Is limping always painful for dogs?

Limping usually indicates pain or discomfort in the affected limb.

Can arthritis cause limping?

Yes. Arthritis is a common cause of chronic limping in older dogs.

When is dog limping an emergency?

Limping becomes an emergency if the dog cannot bear weight, has severe pain, or shows swelling or deformity.

Related Dog Health Articles

You may also find these veterinary articles helpful:

ACL tear in dogs
arthritis in dogs
hip dysplasia in dogs
luxating patella in dogs
fractures in dogs







Previous
Previous

Osteochondritis Dissecans (OCD) in Dogs: Causes, Symptoms, and Treatment

Next
Next

Broken Leg in Dogs: Signs, Causes, and Treatment