Mast Cell Tumors in Dogs and Cats

Mast Cell Tumors in Dogs and Cats: The Complete Guide Every Pet Owner Should Read

mast cell tumor

A new lump on your dog or cat can stop you in your tracks. One day the skin looks normal, and the next there’s a bump—maybe small, maybe growing, maybe red or irritated. Among the many types of skin growths pets can develop, mast cell tumors (MCTs) are some of the most important to understand. They are common, unpredictable, and can range from harmless to serious depending on their grade and behavior.

This guide explains what mast cell tumors are, how they behave, how veterinarians diagnose them, and what treatment options exist. It’s written for pet owners who want clear, trustworthy information—and it’s structured for strong SEO performance on Squarespace and high engagement when shared on Facebook.

What Mast Cell Tumors Are

mast cells

Mast cell tumors arise from mast cells, a type of white blood cell involved in allergic responses. These cells store histamine and other chemicals that help the body react to allergens and inflammation. When mast cells multiply abnormally, they form tumors that can appear anywhere on the body.

Mast cell tumors are sometimes called “the great pretenders” because they can look like almost anything:

  • A small, firm bump

  • A soft, squishy mass

  • A red, inflamed patch

  • A lump that grows, shrinks, and grows again

  • A mass that suddenly becomes irritated or ulcerated

This variability is one reason veterinarians recommend checking any new lump.

Why Mast Cell Tumors Develop

The exact cause is not fully understood, but several factors appear to play a role:

  • Genetics: Certain breeds are more prone, including Boxers, Pugs, Boston Terriers, Bulldogs, Labrador Retrievers, Golden Retrievers, and Shar‑Peis.

  • Immune system behavior: Mast cells are part of the immune system, and abnormal immune signaling may contribute.

  • Age: Most pets are middle‑aged or older when diagnosed, though younger animals can be affected.

Mast cell tumors are not contagious and not caused by trauma or environmental toxins.

How Mast Cell Tumors Look and Behave

mast cell tumor on dog

One of the most challenging aspects of mast cell tumors is their unpredictability. They may:

  • Stay small for months

  • Suddenly grow overnight

  • Become red or swollen

  • Shrink temporarily

  • Ulcerate or bleed

  • Cause itching or irritation

Because mast cells release histamine, the tumor may swell when touched or manipulated. This is why veterinarians often caution against squeezing or massaging lumps.

Symptoms to Watch For

While some mast cell tumors cause no symptoms beyond the lump itself, others may trigger systemic effects due to histamine release:

  • Vomiting

  • Loss of appetite

  • Lethargy

  • Diarrhea

  • Stomach ulcers

  • Swelling around the tumor

Any of these signs should prompt a veterinary visit.

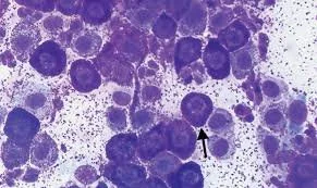
How Veterinarians Diagnose Mast Cell Tumors

fine needle aspirate

Diagnosis typically involves:

  • Fine‑needle aspiration (FNA): A small needle collects cells for microscopic evaluation. This is the fastest and most common diagnostic method.

  • Biopsy: Provides information about the tumor’s grade, which helps predict behavior.

  • Staging tests: Bloodwork, lymph node evaluation, abdominal ultrasound, or imaging may be recommended if spread is suspected.

Early diagnosis helps guide treatment decisions and improves outcomes.

Understanding Tumor Grades

Mast cell tumors are graded based on how aggressive they appear under the microscope.

  • Low‑grade tumors: Often slow‑growing, less likely to spread, and have an excellent prognosis with proper treatment.

  • High‑grade tumors: More aggressive, more likely to spread, and require a combination of treatments.

The grade helps veterinarians determine the best treatment plan.

Treatment Options

Treatment depends on the tumor’s grade, location, and whether it has spread. Common approaches include:

Surgery

Surgical removal is often the first step for localized tumors. Wide margins are typically recommended to reduce the chance of recurrence.

Radiation Therapy

Used when surgical margins are incomplete or when the tumor is in a location where wide surgery is difficult.

Chemotherapy

May be recommended for high‑grade tumors or when spread is detected.

Targeted Medications

Some medications are designed to block signals that help mast cell tumors grow.

Supportive Care

Because mast cell tumors release histamine, veterinarians may recommend medications that help protect the stomach or reduce inflammation.

Treatment plans are individualized based on the pet’s needs and the tumor’s behavior.

Prognosis and What to Expect

Prognosis varies widely:

  • Many low‑grade tumors are highly treatable and may never return after surgery.

  • High‑grade tumors can be more challenging and may require ongoing management.

Regular monitoring is important. Any new lump should be evaluated, even in pets with a history of mast cell tumors.

Living With a Pet Diagnosed With a Mast Cell Tumor

A diagnosis can feel overwhelming, but many pets live long, happy lives after treatment. Key steps include:

  • Monitoring for new lumps

  • Following your veterinarian’s recommendations

  • Keeping a journal of changes in size or appearance

  • Scheduling regular check‑ups

Understanding the condition helps you make informed decisions and support your pet’s comfort and well‑being.

Take control of your dog’s treatment plan at Bushnell Animal Clinic today!






Frequently Asked Questions About Mast Cell Tumors in Dogs

What is a mast cell tumor in dogs?
A mast cell tumor is a type of cancer that arises from mast cells, which are part of the immune system. These tumors most commonly appear as lumps or masses on the skin but can also develop internally.

What does a mast cell tumor look like on a dog?
Mast cell tumors can vary in appearance. They may look like small bumps, raised lumps, or larger masses on the skin. Some tumors change size or become red and inflamed due to the release of histamine.

Are mast cell tumors in dogs always cancerous?
Yes. Mast cell tumors are considered malignant, but their behavior can vary widely. Some grow slowly and are less aggressive, while others spread quickly to other parts of the body.

Which dogs are most likely to develop mast cell tumors?
Mast cell tumors are more common in middle-aged to older dogs. Certain breeds such as Boxers, Boston Terriers, Labrador Retrievers, and Bulldogs may have a higher risk.

How are mast cell tumors diagnosed in dogs?
Veterinarians typically diagnose mast cell tumors using a fine needle aspirate, where a small sample of cells is collected from the lump and examined under a microscope.

Can mast cell tumors spread to other organs?
Yes. Mast cell tumors can spread to lymph nodes, the liver, spleen, or other organs. Early detection and treatment improve outcomes.

What is the treatment for mast cell tumors in dogs?
Treatment usually involves surgical removal of the tumor. In some cases, additional treatments such as chemotherapy, radiation therapy, or medications may be recommended.

Are mast cell tumors painful for dogs?
Some mast cell tumors may cause irritation, swelling, or ulceration. Dogs may lick or scratch the area if it becomes uncomfortable.

Why do mast cell tumors sometimes change size?
Mast cell tumors can release histamine and other chemicals that cause swelling and inflammation, which may make the lump appear to grow or shrink temporarily.

When should I take my dog to the veterinarian for a lump?
Any new lump or swelling on a dog should be examined by a veterinarian. Early diagnosis helps determine whether the mass is benign or cancerous.

Related Dog Health Articles

You may also find these veterinary articles helpful:

Dog Lump Under Skin
Lipoma in Dogs
Sebaceous Cyst in Dogs
Dog Abscess
Canine Papilloma Virus
Hamartoma in Dogs
Dog Mammary Tumor
Dog Skin Tumors
Dog Warts and Skin Growths

Previous
Previous

Asthma in Cats: Symptoms, Diagnosis, Treatment, and Long‑Term Care

Next
Next

Histiocytoma in Dogs: A Guide for Dog Owners